Estados Unidos, 13 de febrero.- Mira la foto de arriba. ¿Ves algo raro?. Un estudio realizado por un hospital de Boston reveló que el 83% de los radiólogos consultados no pudo ver al animal en las imágenes.

La demostración de las consecuencias potencialmente peligrosas para la vida de la denominada "ceguera por falta de atención" -algo que no se ve a pesar de estar justo enfrente de uno- fueron revelados en la “prueba gorila” que se llevó a cabo en 24 radiólogos acreditados en el Hospital Brigham and Women’s, de Boston.

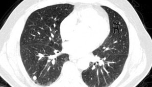
En el estudio, los investigadores les pidieron a los me´dicos que dijeran lo que veían en las tomografías de cinco pacientes con cáncer de pulmón. En las primeras cuatro exploraciones de pacientes no se notó nada raro, pero oculto en la pila de 239 imágenes de la quinta paciente había cinco tomografías consecutivas que muestran a un gorila bailando.

En efecto, para ayudar a su investigación la primera de esas imágenes fue con el 50% del gorila transparente, la segunda con el 75% del animal visible y la tercera con el simio plenamente observable, antes de “desaparecer” de nuevo al 50% en las últimas dos exploraciones.

Pero sólo cuatro de los 24 radiólogos informaron haber visto el gorila durante la prueba, en la cual los investigadores utilizaron la tecnología de seguimiento de los ojos para ver donde los investigadores habían estado buscando y si se pasa sobre el gorila en la tomografía, según publica el diario británico Daily Mail.

"La mayoría de ellos miró directamente a los gorilas durante largos períodos de tiempo, pero simplemente no pudieron verlos”, aseguró Trafton Drew, quien dirigió el estudio en el mencionado centro de salud de Boston.

El estudio de iluminación está inspirado en el experimento del “gorila invisible”, realizado en 1999. En éste los científicos les pidieron a los participantes que observaran un video que muestra a un grupo de personas pasándose una pelota de básquetbol, y en el que los veedores deben contar el número de pases realizados por personas vestidas de blanco.

A la mitad del video un hombre que llevaba un traje de gorila pasa caminando por entre las personas, y hace un pequeño baile. Sin embargo, la mitad de los espectadores no vieron al gorila hasta que se les señaló por segunda vez.